Loading...

News

Displaying results 253-270 of 310

Screen Shot 2018 06 18 at 2 06 56 PM

Anthony Bourdain: A Hunter's Friend, Against All Certainty

It may come as a surprise that the late Anthony Bourdain, a self-described lefty Democrat, was a hunter's friend and convincing ambassador of the meat-eating right.
Wentz bros outdoors 4 L

Eagles QB Carson Wentz Lands Hunting Show on the Outdoor Channel

Philadelphia Eagles QB and avid hunter Carson Wentz can be seen this summer alongside his brother Zach on the Outdoor Channel's first digital series.
1 181004 112409

Artificial Intelligence Can Now Count Wildlife

Artificial intelligence can now identify and count wildlife. What's not yet known is how AI will be received by those in the outdoor and hunting community.
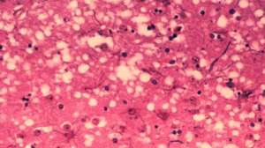
Histology bse e1528315181393

Research Indicates CWD Will Not Spread to Humans

The CDC isn't ready to declare humans resistant to CWD prions, but research from the University of California San Diego indicates CWD will not spread to humans.
I Stock 504370449 181004 112349

For Hire: Hunters with Shotguns, the Florida Everglades Needs You

If you're an avid deer hunter who's looking for something to hunt between now and fall, the Florida Everglades could use a hand getting rid of its pythons.
Screen Shot 2018 06 04 at 11 34 45 AM

Video: Motorist Captures Video of Doe Nudging Fawn to Safety

While watching this doe nudge her newborn fawn up and away from the road, also take a look at the fawn's response to danger. Typically, these behaviors are an instinctive response to nearby predators.
John hafner 08025

Opposition to Baiting Deer Gets Louder in Georgia

Former wildlife experts in Georgia voice opposition to baiting deer. What's at stake? And does data indicate baiting improves a deer hunter's success?
I Stock 687221168

Wisconsin’s Hunting Culture Blamed in Part for the State’s Drunken Reputation

Ten Wisconsin cities rank among the 20 drunkest cities in the U.S. and a recent article suggest the state's hunting culture is partly responsible.
I Stock 666985952

Do Some Texas Schools Close for Opening Day of Hunting Season?

Texas students don't technically get a day off of school to hunt but, shoot, hunting is an early-morning pursuit and what's a missed homeroom period anyway?
John hafner 332

Hunting Deer in Velvet: Tennessee Becomes the Latest to Adopt an Early-Hunting Period

Tennessee becomes the latest state to make hunting deer in velvet possible. What makes these hunts attractive and what can a deer hunter expect from early-season deer?
Untitled design 19

Army Veteran, Gun Writer Arrested: Previously Convicted of Deer-Camp Crime

A string of deer-camp crimes in northwest Louisiana has been making news. Now another recent arrest brings to light a 2011 felony against a deer hunter from the same town.
Aedes aegypti mosquito

Hunters Beware: Sickness From Mosquitoes, Ticks Triples from 2004-2016

For hunters, the spike in Lyme disease cases — double what was reported in 2004 — should be of special concern as sickness from mosquitoes, ticks triples.
Screen Shot 2018 05 10 at 2 11 37 PM

In Your State: Whitetail News Roundup

This whitetail news roundup includes more hunting opportunities for West Virginia hunters and a poaching ring gets busted in Ohio.
Fawn in Forest edit

Could This Deer Fawn Survive Without Its Mother?

A fawn hops in the backseat of a police car before reuniting with its mother. But what if this reunion hadn't happened? Could this fawn survive?
I Stock 477993007 1

Ticks Threaten Hunters With New Tick-Borne, Red-Meat Allergy

According to a recent report from CBS News, “An increasing number of people are developing allergies to red meat, and doctors believe the one thing many of them have in common are tick bites.”
Crosman Airbow

Texas Parks and Wildlife Commission to Revisit Air Bow, Airgun Rules

The Texas Parks and Wildlife Commission has delayed until a May 24 public meeting any final rulemaking on the use of air guns and air bows for hunting.
1280px Tinicum NWR

Bowhunting Philadelphia: Do the City's People Approve of Urban Deer Hunting?

Currently hunting is not legal in John Heinz National Wildlife Refuge, but a plan has been proposed to legalize urban deer hunting to thin the whitetail population.